Tavaszi emlékek Falun élek…kertrendezés barátokkal kalákában: ugyanolyan fontos, – talán fontosabb is, – ennek közösség összetartó szerepe, mint maga a […]
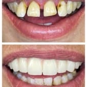
TovábbSzinte kész💥 Egy Facebook posztunkból Előtt-után ✈️ Németországból jött hölgy összes megmaradt felső fogát, valamint alul mindkét oldalon 2-2 hátsó […]
TovábbVolt egyszer egy Facebook posztunk… Ez: Egyik, – több hírlevél témánkat inspiráló – követőnk kommentje: Válaszom:
TovábbA páciensnek egy tragédia Alábbi poszt a Fogorvosok FB csoportból: “Kis pénz, kis foci” – a legtalálóbb komment. Ordítanak a […]
TovábbEgy fogászati igazságügyi szakértő keresett meg, – mint a teljes fogatlanság, illetve az All-on-4 egyik vezető hazai szakértőjét, – hogy […]
TovábbRöviden a fogínygyulladás okairól, kialakulásáról, tüneteiről és kezeléséről A fogínygyulladás alattomos betegség, mert sokáig nem okoz fájdalmat, mégis komoly következményekkel […]
TovábbNézzünk hol is van és miért is jó Szekszárd! Páciensek az egész országból, annak legtávolabbi pontjairól járnak hozzánk, – nekik […]
TovábbRossz szájhigiénia és az Alzheimer kialakulása között mutattak ki összefüggést A fogászati problémák és az Alzheimer-kór közötti összefüggés egyre több […]
TovábbA fogszín titkai: Miért fontos, és hogyan változtatható? A fogszín nemcsak esztétikai kérdés, hanem az arc színével való harmóniája is […]
TovábbA megszokottól eltérően nem írott, hanem könnyedebb formátummal, videóval készültünk, a nyári melegre.
TovábbHa megadja lenti adatait, akkor kollégánk felveszi Önnel a kapcsolatot.
