Egy fogászati igazságügyi szakértő keresett meg, – mint a teljes fogatlanság, illetve az All-on-4 egyik vezető hazai szakértőjét, – hogy segítsek alábbi eset “megfejtésében”.
Egy hazánkban készült, alsó All-on-4 implantátumos fogpótlását a páciensnek rövid időn belül 5-6-szor kellett javíttatnia; már alig meri rendesen használni. Ezért jogi útra terelte páciens az ügyét.
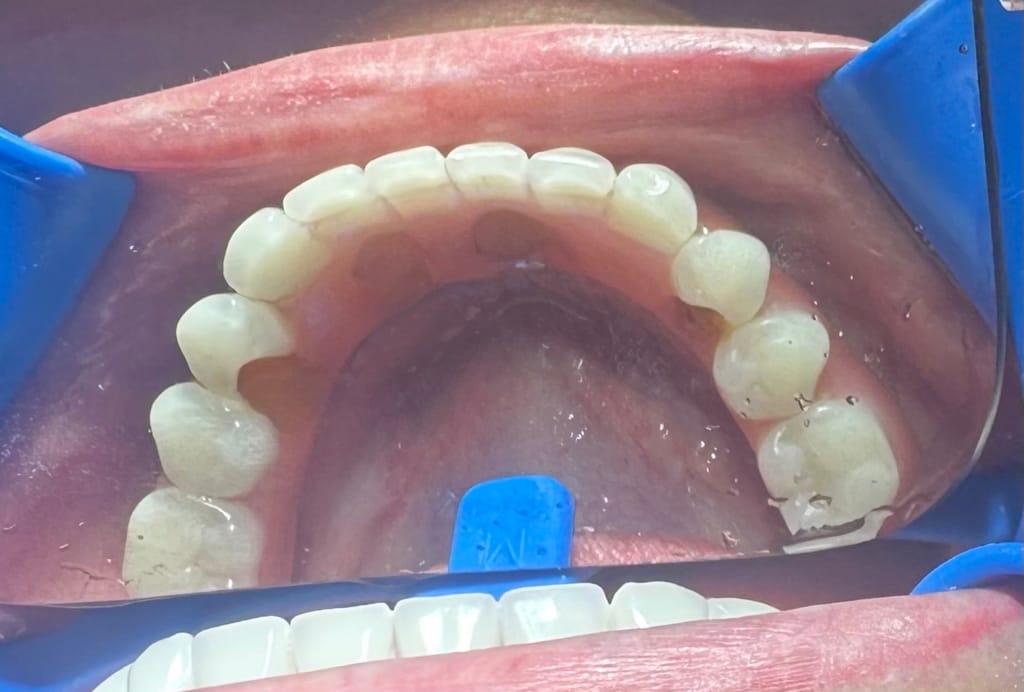
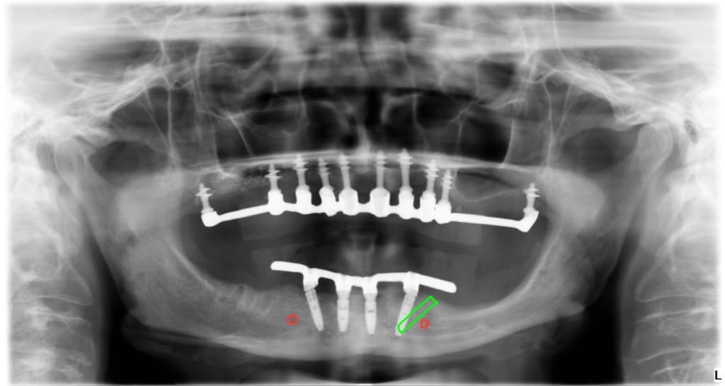
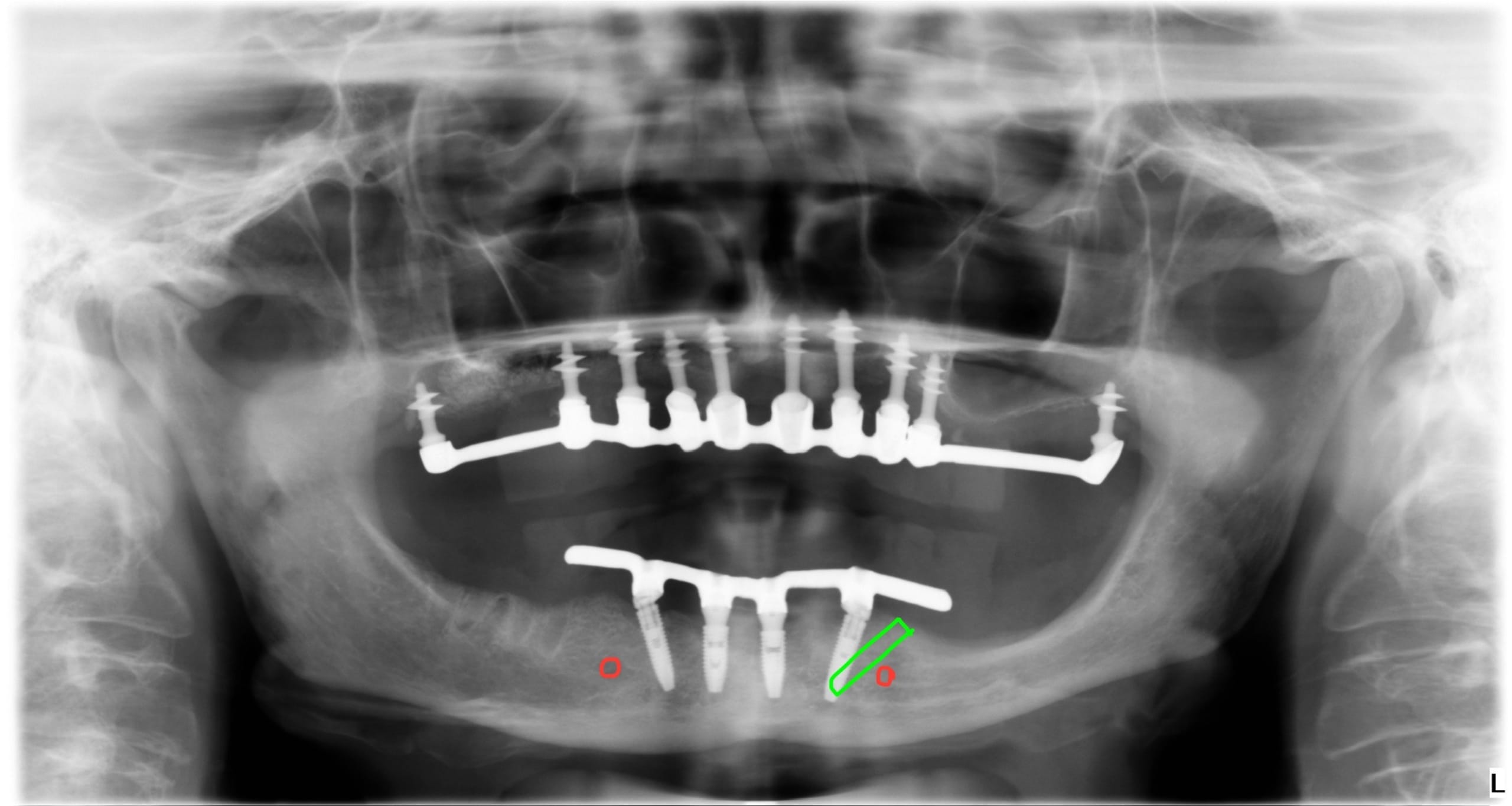
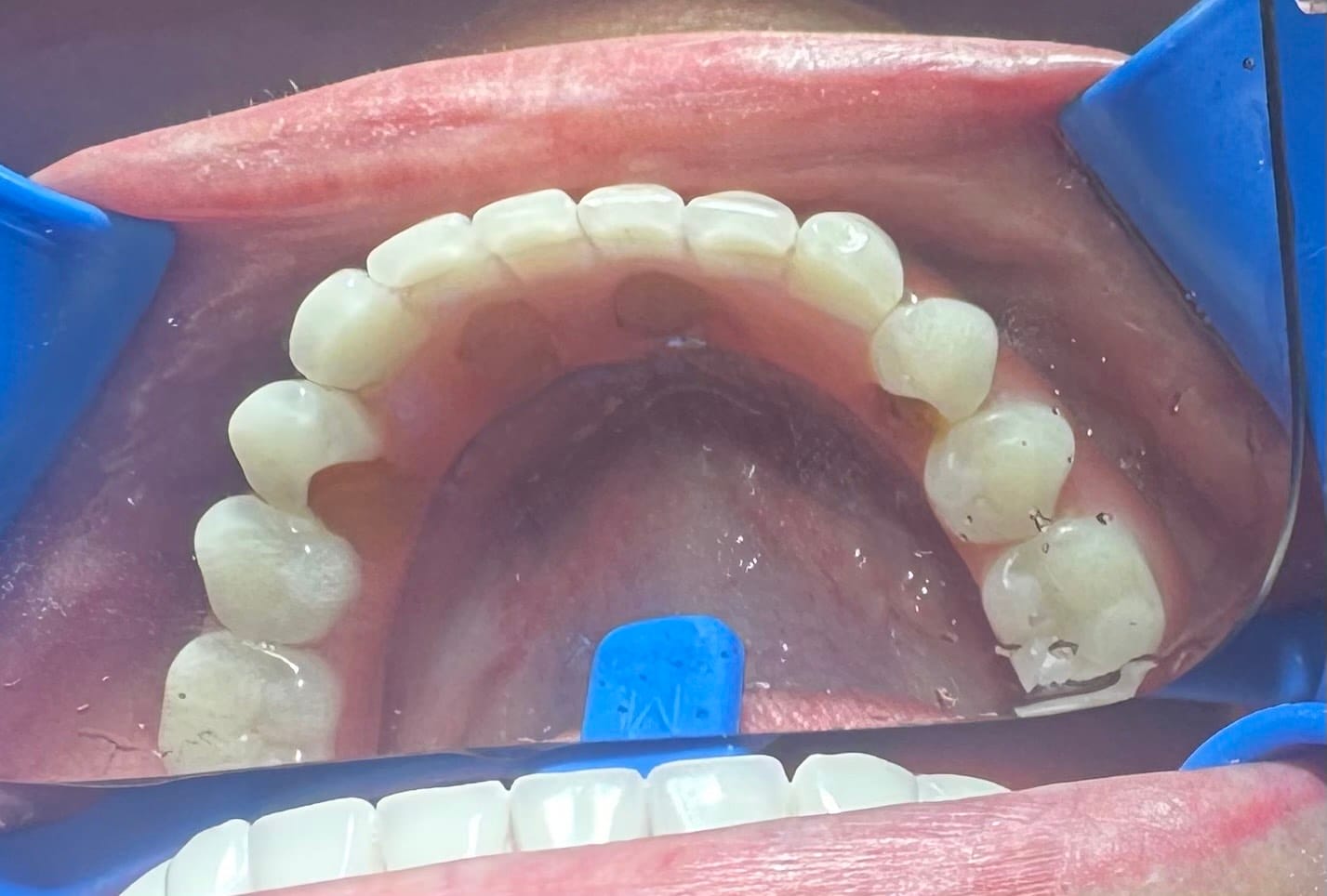
Kaptam néhány fotót, köztük egyet a legutóbbi sérülésről és egy panoráma felvételt.

Az én dolgom: felfejteni mi okozza e gyakori sérüléseit a fogpótlásnak.
3 fotó alapján el tudom laikusoknak is magyarázni az okokat.

A GONDOKHOZ VEZETŐ HIBÁK:
1. pontosabb mérést kell végezni a fopótlás rágófelszínén…de biztos, hogy túldimenzionálták hátrafelé a rágófelszínt. A túlzott hátsó túlnyúlás miatt túl nagy húzóerő lép fel az első implantátumokon, mely
2. kitépi a túl rövid és beragasztott ideiglenes(!) titán hüvelyt* a fogpótlásból. Bár fémváz van a műíny alatt, de az implantátumokhoz csavarozott titán hüvelyek nem a fémvázzal egyben vannak kimarva / öntve, hanem – egy jóval olcsóbb megoldásként, a fogpótlás csavarozhatóságát biztosítandó – ideiglenes titán hüvelyeket ragasztottak a fogpótlásba. A túl rövid titán hüvely nem tud elég hosszan rögzülni a fogpótlásban: ez egy ekkora hátsó túlnyúlással nem tud már megbírkózni.


Ami szinte még biztos hiba / probléma (szokott lenni): szinte mindenütt átlagos fogsor alaplemez (rózsaszín műíny) alapanyagot és műfogakat alkalmaznak, melyek szeretnék kitörni. Mert olyan erők ébrednek egy ilyen fogpótlásban, melyeket “elviselnI” nem alkalmasak az átlagos protézis alkotóelemek. Erre gyártanak speciális, sokszorosan erősebb alaplemez alapanyagokat és műfogakat – de ezek sokszorta drágábbak és nehezen beszerezhetők hazánkban.
Fenti megoldást (öntött fémváz beragasztott titán hüvelyekkel) ismeri a szakirodalom, de mint féltartós ideiglenes megoldást ajánlja…nem tudom, az páciens-orvos konzultáción, az (anyagiakra is kiterjedő) megállapodásukban ez mennyire tették nyilvánvalóvá páciens számára.

10 év teljeskörű garanciát adunk minden végleges fogpótlásunkra: nem eshet le, nem törhet vagy színeződhet el. Ha fogra kerül a fogkorona, alatta a fog nem szuvasodhat.
10 év teljeskörű garancia* jár csontpótlásainkra. Olyat nem ismerünk, hogy sikertelen csontpótlás! Ha ritkán valamilyen komplikáció elő is fordul, még az is menthető – ennek megvannak a szakmai protokolljai; tudás és anyag-eszköz oldalról erre is fel vagyunk készülve.
Prémium Basic csomagunkra vonatkozó garanciáról kérjen további tájékoztatást.
*Nem vállalunk garanciát a csontpótlásra, amennyiben sinus-lift és egyéb kisebb csontpótlások esetén a páciens a műtétet megelőző napon, valamint a műtét utáni egy hétben dohányzik; valamint amennyiben 3 D / vertikális csontpótlás esetén 3 hónappal a beavatkozás előtt páciens nem szokott le a dohányzásról.

A Kezelési Terv elkészítése során kiadott árajánlatnál semmiképp sem fizet többet!
Aki szakmáját magas szinten műveli, magabiztosan átlátja munkájának teljes spektrumát, annak számolnia kell tudni szinte minden eshetőséggel. Egy páciens állapota, a kiválasztott kezelési út milyen nehézségeket, csapdákat hozhat, azok megoldási módozatai – ezt előre fel kell mérni, megbeszélni, tisztázni.
Épp ezért a konzultáció során rendkívül alapos CT elemzést végzünk, majd olyan átgondolt, minden részletre kidolgozott kezelési tervet készítünk, melyben igyekszünk minden lehetőséget számításba venni.
Amennyiben a kezelés megkezdése után, a Kezelési Terv módosításra szorul, úgy arra csak a Páciens hozzájárulásával kerül sor.
Ez a szakmai és morális hitelesség kulcsa.
Ha megadja lenti adatait, akkor kollégánk felveszi Önnel a kapcsolatot.
